在日常的咨询中,我们会发现,很多患者很抗拒拍牙片。一些患者认为,医生能够通过面诊及口头描述的情况来判断口腔问题,再拍牙片就浪费时间了,而且还觉得拍牙片存在辐射并不安全,如果医生要我去拍牙片,那一定是有“猫腻”的!
牙片要不要拍,是不是会带来辐射危害?今天我们一同来了解。

前文说到,拍牙片的目的是:了解牙根、牙髓、牙周、牙槽骨等的情况。因为牙齿的牙根埋在牙槽骨中,仅通过肉眼,医生无法了解患牙的牙根的形态、走向、长度及根尖周有无病变及病变大小。因此看牙第一步都是建议拍片,根据拍片结果,医生才能制定更合适的治疗方案。

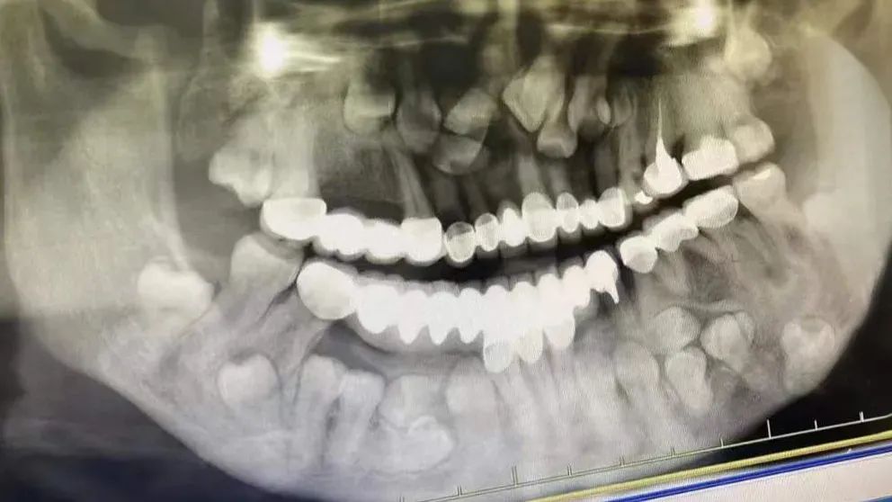
你的牙,在牙片下可能长这样——

▲白色为做的固定冠修复,以为没有恒牙其实是恒牙长在了牙槽骨内长不出来了。

▲标记处为:儿童换牙期缺失牙,乳牙脱落后则会缺牙。
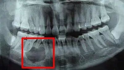
很多人觉得自己口腔全好,没有任何牙齿问题,但在牙片下,牙齿可能已经变成了这样——

▲根尖炎症,可能会引起牙槽骨骨髓炎或其他疾病。

▲阻生智齿,可能会造成冠周炎或损坏相邻牙。

▲根尖囊肿,会引起周围骨质的吸收,脸部会慢慢出现畸形的状态。

▲多生牙、缺骨。

▲七号牙近中生长 + 阻生智齿。
看了上面这些牙片,你还会觉得自己的牙齿挺好的,不用拍牙片吗?

大家都知道人体接触X线有一定的潜在危害,但前提是过多接触,超过容许爆射量,则会产生放射反应及损害,但是如果X线的爆射量在容许范围内,一般对人体的危害极小。

依照目前国际放射防护委员会的标准,一般民众辐射限值为每人每年不得超过5毫西弗(mSv)=(5000微西弗 (μSv))。而拍一次牙片辐射剂量大约在5-15微西弗,不同的牙科放射检查也有不同的剂量。要知道能对致癌率产生影响的最低剂量为10万 μSv,相当于要照2万次小牙片才能达到这个量!
其次,对于患癌率的影响是需要长期的积累才会出现明显效果,如果短时间内一次性接受大量的放射剂量那才要命呢(比如100万微西弗就可以致命)。像我们每天正常生活,所接受的天然辐射量,每年约在1.6毫西弗,也就是1600微西弗。所以说拍摄牙科X光所受到的辐射量无论是相对于日常生活还是相对于其他医学影像学检查来说都是比较小的,所以,大家完全不必对拍牙片感到紧张或不适。









浙公网安备 33030202000739号