老年人常见的口腔问题有: 牙体病、牙周病、牙齿脱落等,其中以牙齿脱落最为常见。所以许多人就认为“老掉牙”是正常现象!但是人老了,就一定要频频掉牙吗?

事实上,年龄与牙齿健康没有直接关系,有些人年轻的时候牙齿就掉了不少,有些人年纪很大了依然能保持全口牙齿,龋病和牙周病才是导致牙齿脱落的主要原因。今天就一起来谈谈老年人口腔健康那些事儿。

为何会“老掉牙”?
人老掉牙并不是必然规律,大多数是由于长期患有龋病、牙周病等口腔疾病造成的。
1、牙周病
牙周病是导致牙齿松动脱落的主要原因之一。人到一定年纪,牙龈会自然老化萎缩,对牙槽骨输送营养的能力会日趋下降,牙槽骨随之萎缩变短,口腔医学称其为“骨吸收现象”,这是一种自然的生理现象。

牙龈萎缩后,不能再像从前那样紧紧地包裹住牙根,导致牙齿周围的牙龈、牙槽骨直接受到口腔中各种细菌的侵袭,从而形成慢性牙周炎,牙周炎又反过来加剧牙龈萎缩,加速牙槽骨被吸收,使牙齿动摇、脱落,最终导致恶性循环。

2、龋病
龋病,俗称蛀牙,老年人的蛀牙率一般随年龄增加而增加,而老年人由于牙龈萎缩,牙槽骨吸收,牙根暴露,龋病多发生在牙根称为“根面龋”。
龋病是人类最普遍的疾病之一,龋病患者的牙齿将会缺损、疼痛并最终发展成残根。成年人得龋病的概率会随着年龄的增长而增加。
以上现象都是由牙疾引起的牙齿脱落,与年龄大小无显著关系。老年人若能注意防病保健,就可以减少牙齿脱落的状况。所以“老掉牙”的现状是可以被改变的。
如何预防“老掉牙”?
虽然进入老年后,人体的各种器官都在发生着变化,口腔组织也确实会随年龄的增长而变化,但这并不意味着人老牙就一定会掉。
只要做好口腔保健,老年人就可以避免“老掉牙”。
1、食物嵌塞应及时到医院诊治
食物嵌塞,俗称“塞牙”,是中老年人常见的口腔不适之一。
2、关注口腔黏膜变化
50岁以上年龄是口腔黏膜疾病高发的年龄,老年人应该关注口腔黏膜变化,发现口腔内有两周以上没有愈合的溃疡,口腔粘膜有硬结、白色或红色斑块及出现牙痛、牙龈出血等不适症状后要及时就医。
叩齿是我国传统的中医口腔保健方法,每天叩齿1-2次,每次叩齿40下左右,可以促进牙周血液循环、增进牙周组织健康,长期坚持可固齿强身。如果牙齿松动、咬合错乱,叩齿往往会造成牙周组织创伤,不宜作叩齿保健。
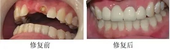
牙齿具有咀嚼食物、辅助发音和维持面容形态的功能。牙齿缺失易发生咀嚼困难、食物嵌塞、对颌牙伸长、邻牙倾斜等。前牙缺失还会导致发音不准、面部形态发生变化,全口牙丧失后,咀嚼十分困难,面容明显苍老。因此,不论失牙多少,都应及时进行义齿修复。
综上所述,老年人日常要做好牙齿健康防护,不能忽视自己的牙齿健康问题,同样的,年轻人也要尽早关注牙齿健康问题,在年轻时爱护牙齿,到了老年才能拥有一口健康的好牙!









浙公网安备 33030202000739号